
Teleskop- und Geschiebetechnik
Ein sicherer und leicht handhabbarer Zahnersatz

01
Teleskop- und Geschiebetechnik
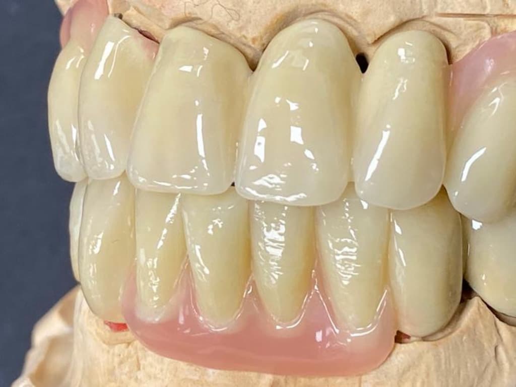
Die moderne Prothetik bietet eine Vielzahl von Lösungen für den Ersatz fehlender Zähne. Zwei bewährte Methoden sind die Teleskoptechnik und die Geschiebetechnik, die beide eine herausnehmbare, aber dennoch stabile und komfortable Versorgung ermöglichen.
Die Teleskopprothese basiert auf einem Doppelkronensystem, das aus einer Primärkrone (Innenteleskop) und einer Sekundärkrone (Außenteleskop) besteht. Die Primärkrone wird fest auf den präparierten Zahn zementiert, während die Sekundärkrone in die herausnehmbare Prothese integriert ist. Vorteile: Hoher Tragekomfort und natürliche Ästhetik, gleichmäßige Belastung der Pfeilerzähne, Erweiterbarkeit bei weiterem Zahnverlust und keine sichtbaren Klammern.
02
Geschiebetechnik und die richtige Wahl
Die Geschiebeprothese ist eine Teilprothese, die über präzise Verbindungselemente an natürlichen Zähnen oder Kronen befestigt wird. Diese Geschiebe bestehen aus einer männlichen (Patrize) und einer weiblichen (Matrize) Komponente, die eine exakte Passung und eine sichere Fixierung ermöglichen. Vorteile: Hohe Stabilität ohne sichtbare Halteelemente, gute Kraftverteilung auf die Restzähne, ästhetisch ansprechend, da keine Klammern nötig sind, und langlebige Lösung bei korrekter Pflege. Diese Technik kommt vor allem dann zum Einsatz, wenn noch genügend stabile Pfeilerzähne vorhanden sind, die als Verankerung dienen können.
Sowohl die Teleskop- als auch die Geschiebetechnik bieten hochwertige, funktionale und ästhetische Lösungen in der Zahnprothetik. Die Wahl der geeigneten Methode hängt von individuellen Faktoren wie Restzahnbestand, Kieferverhältnissen und Patientenwünschen ab. Eine sorgfältige Planung durch den Zahnarzt und Zahntechniker ist entscheidend für den langfristigen Erfolg der Versorgung.






Unsere Leistungen