
Veneers
Super ästhetisch und minimalinvasiv

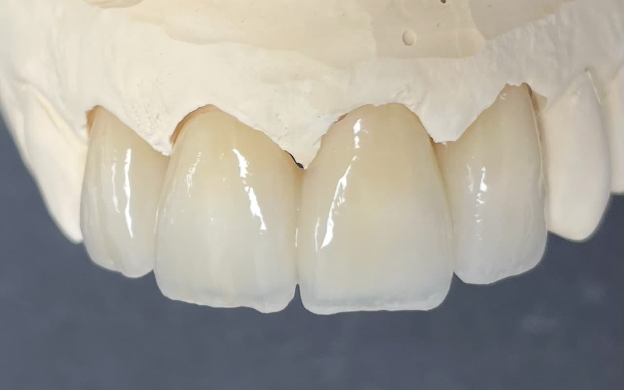
01
Ästhetische Veneers
In unserem Dentallabor in Münster spezialisieren wir uns auf die Fertigung von Veneers, die eine perfekte Lösung für ein strahlendes Lächeln bieten. Unsere maßgefertigten Veneers sind darauf ausgelegt, das Erscheinungsbild Ihrer Zähne zu verbessern, indem sie Verfärbungen, leichte Fehlstellungen oder Beschädigungen effektiv korrigieren.
Bei Henrichmann Zahntechnik legen wir größten Wert auf die Genauigkeit und Ästhetik unserer Veneers. Wir verwenden fortschrittliche Techniken, um sicherzustellen, dass jedes Veneer perfekt an den jeweiligen Zahn angepasst wird. Dieser Prozess ermöglicht es uns, Veneers zu schaffen, die nicht nur optisch ansprechend sind, sondern sich auch nahtlos in Ihr natürliches Lächeln einfügen.
Die Wahl des Materials spielt eine entscheidende Rolle bei der Herstellung von Veneers. In unserem Labor verwenden wir hochwertige Keramik, die für ihre Langlebigkeit und ihre Fähigkeit, das Licht ähnlich wie natürlicher Zahnschmelz zu reflektieren, bekannt ist. Diese Materialien ermöglichen es uns, Veneers zu fertigen, die sowohl stark als auch ästhetisch sind und ein natürliches Aussehen bieten.
02
Maßgeschneidert für Ihr Lächeln
Jedes Veneer, das wir bei Henrichmann Zahntechnik anfertigen, ist ein Unikat, das speziell auf die Bedürfnisse und Wünsche unserer Patienten zugeschnitten ist. Wir nehmen uns die Zeit, um eine präzise Anpassung zu gewährleisten, sodass Ihre Veneers nicht nur perfekt sitzen, sondern auch das gewünschte ästhetische Ergebnis erzielen.
Unsere Veneers sind für ihre Langlebigkeit und leichte Pflege bekannt. Wir beraten Sie ausführlich darüber, wie Sie Ihre Veneers am besten pflegen, um deren Schönheit und Funktion über Jahre hinweg zu erhalten. Mit der richtigen Pflege können Sie sicher sein, dass Ihr Lächeln dauerhaft strahlend bleibt.



Unsere Leistungen